Le storie di successo dello Studio Accardo raccontano il percorso di numerosi pazienti che, grazie alla nostra esperienza e competenza, hanno raggiunto risultati straordinari nel trattamento delle loro problematiche odontoiatriche. Ogni caso è unico, e attraverso queste storie di successo, vogliamo condividere con te la qualità dei trattamenti offerti nelle nostre sedi di Palermo e Trapani, con l’obiettivo di ispirarti a intraprendere il tuo percorso verso un sorriso sano e luminoso.


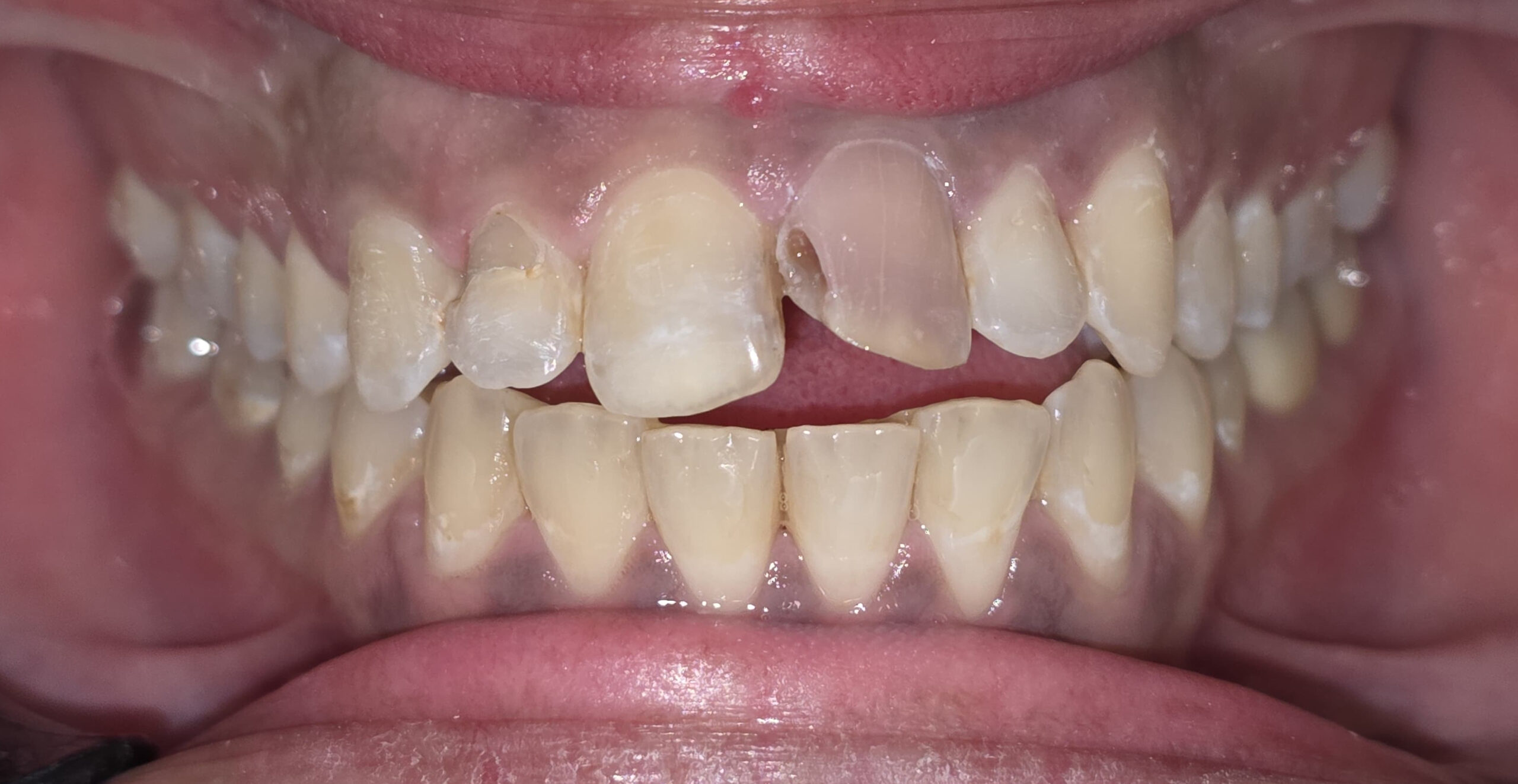
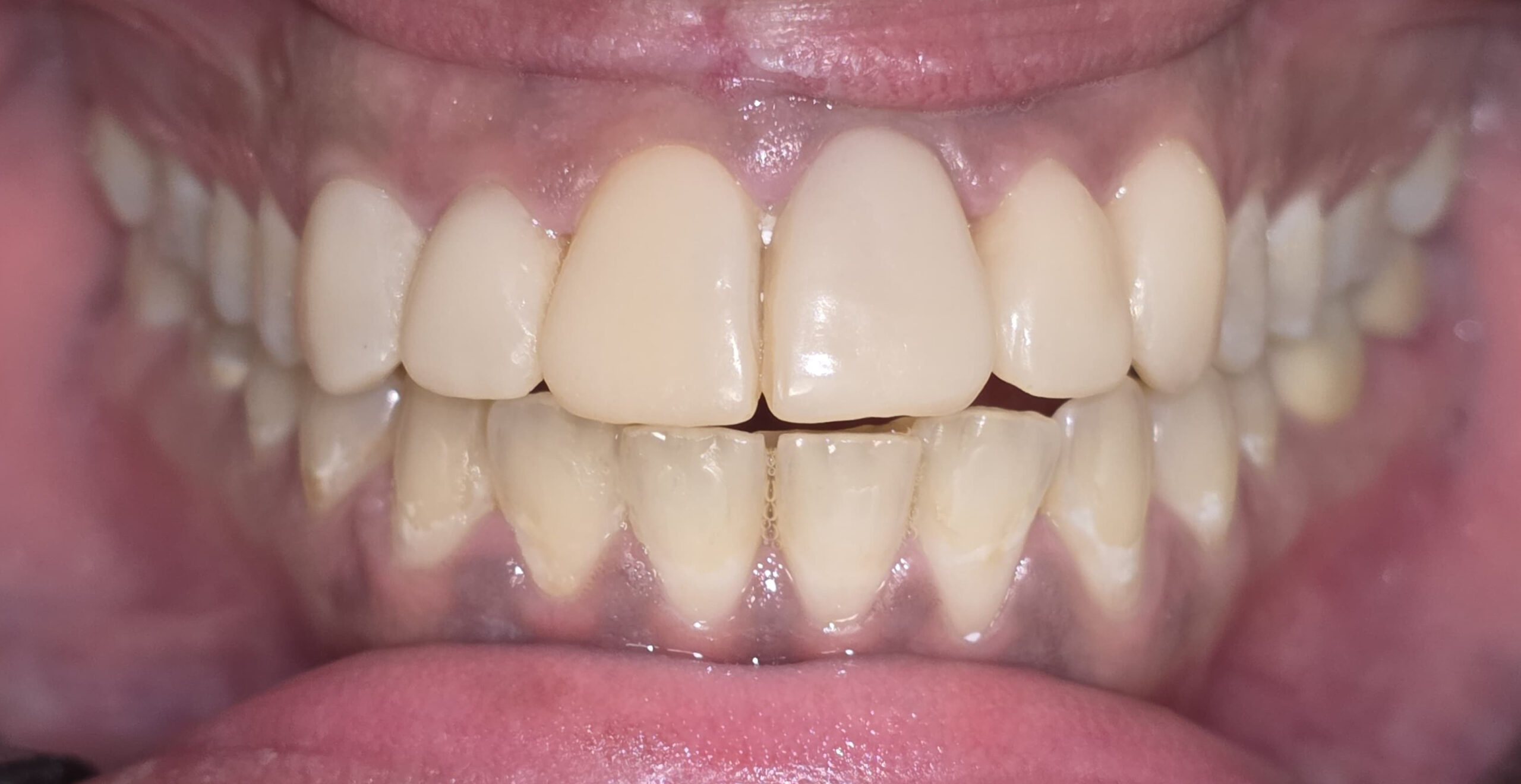
Un nuovo sorriso, senza limare i denti
Nel nostro studio valorizziamo l’estetica del sorriso rispettando al massimo la struttura naturale dei denti. Grazie alla tecnica Injection Molding, possiamo realizzare ricostruzioni estetiche additive senza necessità di limare o danneggiare lo smalto.
Utilizzando mascherine personalizzate e materiali compositi di ultima generazione, siamo in grado di migliorare forma, proporzioni e armonia del sorriso in modo minimamente invasivo, ma altamente preciso.
Il risultato? Un sorriso rinnovato, naturale e in piena armonia con il viso del paziente.
Guarda il prima e dopo di questo trattamento: piccoli interventi, grandi trasformazioni.


Questo paziente presentava una terza classe dentale con notevole affollamento, una condizione che causava difficoltà masticatorie e influiva sull’estetica del sorriso. Grazie a un piano di trattamento ortodontico avanzato e personalizzato, abbiamo progressivamente corretto l’allineamento dentale e migliorato la funzione occlusale, ottenendo risultati stabili e un sorriso armonioso.


Il paziente presentava un morso profondo (deep bite) con sventagliamento dei denti frontali, condizione che causava problemi estetici e funzionali, come l’usura precoce dei denti anteriori e difficoltà masticatorie. Attraverso un trattamento ortodontico mirato, abbiamo ripristinato l’equilibrio occlusale, migliorando sia la funzione che l’estetica del sorriso per un risultato stabile e duraturo.


Il paziente presentava una grave mancanza di spazio nell’arcata dentale, che aveva causato la dislocazione dei canini (ectopia) e un disallineamento complessivo. Questa situazione influiva negativamente sia sull’estetica del sorriso che sulla funzionalità masticatoria. Con un trattamento ortodontico personalizzato e un’attenta gestione degli spazi, siamo riusciti a riposizionare i canini correttamente, ristabilendo l’armonia dentale e migliorando significativamente la funzione occlusale e l’estetica.


Il paziente presentava una seconda classe dentale con malposizione degli incisivi superiori, caratterizzata da un’eccessiva sporgenza dei denti anteriori e una chiusura non equilibrata. Questa condizione non solo comprometteva l’estetica del sorriso, ma causava anche problematiche funzionali. Attraverso un trattamento ortodontico mirato, abbiamo corretto la posizione degli incisivi e ristabilito una chiusura armoniosa, migliorando la funzionalità masticatoria e l’aspetto complessivo del sorriso.
Ritrova il benessere che meriti: prenota ora un appuntamento in uno dei nostri studi e inizia il tuo percorso verso una vita senza dolore!
Di solito risponde entro 1 ora
Ritrova il benessere che meriti: prenota ora il tuo appuntamento in uno dei nostri studi!
